Naučnici kreirali CytoDiffusion sistem. On otkriva abnormalnosti krvnih zrnaca koje lekari nisu primetili

   
Čitanje: oko 3 min.
  • 0

CytoDiffusion sistem je alatka veštačke inteligencije koja može da analizira abnormalnosti u obliku i formi krvnih zrnaca, i sa većom tačnošću i pouzdanošću od stručnjaka. Istraživači, na primer, kažu da bi ovaj sistem mogao da promeni način na koji se dijagnostikuju stanja poput leukemije.

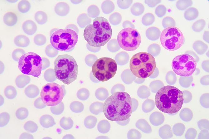
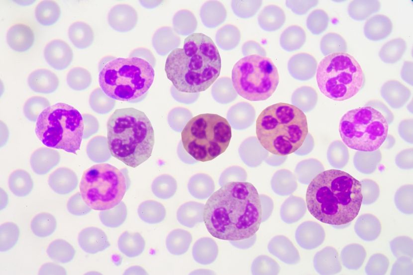
CytoDiffusion sistem proučava oblik i strukture krvnih zrnaca

Istraživači su kreirali sistem pod nazivom CytoDiffusion koji koristi generativnu veštačku inteligenciju - istu vrstu tehnologije koja stoji iza generatora slika (kao što je DALL-E) za proučavanje oblika i strukture krvnih zrnaca. Za razliku od mnogih modela veštačke inteligencije, koji su obučeni da jednostavno prepoznaju obrasce, naučnici, predvođeni University of Cambridge, University College London i Queen Mary University u Londonu - pokazali su da CytoDiffusion može precizno da identifikuje širok spektar izgleda normalnih krvnih zrnaca i uoči neobične ili retke ćelije koje mogu da ukažu na bolest. Njihovi rezultati objavljeni su u časopisu Nature Machine Intelligence.

Imamo mnogo različitih vrsta krvnih zrnaca koja imaju različita svojstva

Uočavanje suptilnih razlika u veličini, obliku i izgledu krvnih zrnaca je kamen temeljac dijagnostikovanja mnogih poremećaja krvi. Ali, zadatak zahteva godine obuke, pa čak i tada, različiti lekari mogu da se ne slože oko teških slučajeva.

- Svi imamo mnogo različitih vrsta krvnih zrnaca koja imaju različita svojstva i različite uloge u našem telu. Bela krvna zrnca su specijalizovana za borbu protiv infekcija, na primer. Ali, poznavanje kako neobična ili bolesna krvna zrnca izgledaju pod mikroskopom je važan deo dijagnostikovanja mnogih bolesti - objašnjava prvi autor studije student doktorskih studija Simon Deltadahl sa Odeljenja za primenjenu matematiku i teorijsku fiziku na University of Cambridge.

Tipičan „razmaz“ krvi sadrži hiljade ćelija - daleko više nego što bilo koji čovek može da analizira

Međutim, tipičan „razmaz“ krvi sadrži hiljade ćelija - daleko više nego što bilo koji čovek može da analizira.

- Ljudi ne mogu da vide sve ćelije u razmazu, to jednostavno nije moguće. Naš model može da automatizuje taj proces, izvrši trijažu rutinskih slučajeva i istakne sve neobično za ljudski pregled. Naš model može da automatizuje taj proces, izvrši trijažu rutinskih slučajeva i istakne sve neobično za ljudski pregled - naglašava Deltadahl.

- Klinički izazov sa kojim sam se susreo kao mlađi lekar hematologije bio je taj što bih se posle radnog dana suočio sa mnogo krvnih slika za analizu. Dok sam ih analizirao u kasnim satima, uverio sam se da će veštačka inteligencija obaviti bolji posao od mene - smatra jedan od autora studije dr Suthesh Sivapalaratnam sa Queen Mary University u Londonu.

Veštačka inteligencija je postala osetljivija na razlike između bolnica, mikroskopa i metoda bojenja

Kako bi razvili CytoDiffusion sistem, istraživači su obučavali AI alat uz više od pola miliona slika krvnih razmaza prikupljenih u bolnici Adenbruk u Kembridžu. Skup podataka,  najveći te vrste, obuhvatao je i uobičajene tipove krvnih ćelija i ređe primerke, kao i elemente koji mogu da zbune automatizovane sisteme.

Modeliranjem potpune distribucije izgleda ćelija, umesto samo učenjem razdvajanja kategorija, veštačka inteligencija je postala osetljivija na razlike između bolnica, mikroskopa i metoda bojenja, i bolje je mogla da prepozna retke ili abnormalne ćelije. U testovima, CytoDiffusion sistem može da detektuje abnormalne ćelije koje se dovode u vezu sa leukemijom sa daleko većom osetljivošću od postojećih sistema.

Vrednost veštačke inteligencije u zdravstvu ne leži u približavanju ljudskoj stručnosti, uz niže troškove

- Kada smo testirali njegovu tačnost, sistem je bio malo bolji od ljudskog. Ali, ono gde se zaista isticalo jeste u saznanju kada je nešto neizvesno. Naš model nikada ne bi rekao da je sigurno, a onda bi bio pogrešan, a to je nešto što ljudi ponekad rade - isitiče Deltadahl.

Kreiranjem ovog sistema, naučnici se nadaju da će osnažiti istraživače širom sveta da izgrade i testiraju nove modele veštačke inteligencije, demokratizuju pristup visokokvalitetnim medicinskim podacima i na kraju doprinesu boljoj nezi pacijenata. Iako su rezultati dobri i  mnogo obećavajuc, istraživači kažu da CytoDiffusion sistem nije zamena za obučene kliničare. Umesto toga, dizajniran je da ih podrži brzim označavanjem abnormalnih slučajeva za pregled i automatskim rešavanjem rutinskih slučajeva. Prava vrednost veštačke inteligencije u zdravstvu ne leži u približavanju ljudskoj stručnosti uz niže troškove, već u omogućavanju veće dijagnostičke i prognostičke moći nego što to mogu postići stručnjaci ili jednostavni statistički modeli.

(eKlinika.rs)

Podelite vest:

Pošaljite nam Vaše snimke, fotografije i priče na broj telefona +381 64 8939257 (WhatsApp / Viber / Telegram).

eKlinika zadržava sva prava nad sadržajem. Za preuzimanje sadržaja pogledajte uputstva na stranici Uslovi korišćenja.

Komentari

ePodcast

  • Eur: <% exchange.eur %>
  • Usd: <% exchange.usd %>