Kako da prepoznate da se virus „spušta“ na pluća i kada je vreme da uradite rendgen?

Piše: Dr Irina Radošević, lekar opšte prakse    
Čitanje: oko 2 min.
  • 0

Otežano disanje, kratak dah simptomi su covid 19 koji ukazuju da se virus možda zahvatio pluća što je razlog da se odmah javite lekaru

upala pluća izazvana koronom Korona virus izaziva upalu pluća, od lakih do teških oblika bolesti Foto: Shutterstock

Covid 19 je respiratorno oboljenje, odnosno napada disajne organe koji uključuju i pluća. Može da izazove različite tegobe sa disanjem, od blagih pa sve do teške respiratorne insuficijencije. Osobe sa hroničnim oboljenjima, kao što su srčana oboljenja, astma, karcinom ili dijabetes su u većem riziku da razviju i tešku kliničku sliku korone.

SARS-Cov-2 koji izaziva covid 19 spada u grupu korona virusa. Virus kapljicama dospeva do gornjih partija disajnog sistema, dolazi u kontakt sa sluzokožom nosa, usta i grla, ulazi u zdrave ćelije koje koristi da se deli i umnožava, šireći se dalje u susedne ćelije.

Korona se lako spušta u pluća

Kako bolest napreduje, virus se „spušta“ u sve niže i niže delove disajnog sistema, i ukoliko se imuni sistem ne izbori sa virusom, on može da dospe i do pluća izazivajući pneumoniju, a u najtežim slučajevima i respiratorni distres sindrom – ARDS.

Zapaljenje pluća koje izaziva korona virus se često javlja obostrano, i iako se većina ljudi oporavi bez posledica, pneumonija izazvana korona virusom može biti veoma teška, da odvede do ozbiljnih oštećenja pluća što rezultira dugotrajnim oporavkom i prisustvom simptoma kašlja i otežanog disanja i više meseci nakon „ozdravljenja“.

Prisustvo virus u organizmu „slabi“ imuni sistem, što može da dovede i do „superinfekcije“, odnosno sekundarne infekcije pluća bakterijom.

Simptomi infekcije pluća

  • porast telesne temperature
  • kašalj – može biti produktivan ili suv
  • kratak dah, otežano disanje
  • ubrzano disanje
  • bol u grudima – koji se obično pogoršava pri kašlju ili dubokom udahu
  • malaksalost/zamaranje
  • preznojavanje

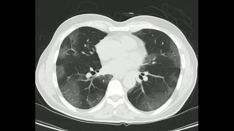
Ukoliko imate bilo koji od navedenih simptoma, pored testa na koronu, lekar će vas uputiti i na rendgen pluća, a u nekim situacijama i na skener (CT) grudnog koša. Na rendgenu se vide jasne „senke“ u zahvaćenim delovima, često obostrano. Na CT-u se, ukoliko je u pitanju pneumonija izazvana korona virusom, vidi slika „mlečnog stakla“.

CT grudnog koša - Corona CT grudnog koša - slika "mlečnog stakla" Foto: Shutterstock

Što se tiče terapije, trenutno još  ne postoji zvanična odobrena terapija za korona virus. Stoga, terapija virusne pneumonije je simptomatska, odnosno uključuje lečenje povišene temperature i kašlja, i praćenje saturacije – koncentracije kiseonika u krvi.

U teškim slučajevima neophodna je i terapija kiseonikom, a u najtežim slučajevima i priključivanje na respirator. U slučajevima sekundarne bakterijske infekcije, terapija uključuje i antibiotike.

Podelite vest:

Pošaljite nam Vaše snimke, fotografije i priče na broj telefona +381 64 8939257 (WhatsApp / Viber / Telegram).

eKlinika zadržava sva prava nad sadržajem. Za preuzimanje sadržaja pogledajte uputstva na stranici Uslovi korišćenja.

Komentari

ePodcast

  • Eur: <% exchange.eur %>
  • Usd: <% exchange.usd %>