Kako prepoznati angiosarkom, redak tumor mekog tkiva

Priredio/la: Ma.R.    
Čitanje: oko 2 min.
  • 0

Osobe starije od 60 godina su u većem riziku od pojave angiosarkoma, iako može da se razvije u bilo kojoj životnoj dobi

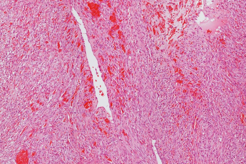
Angiosarkom spada u retke mekotkivne tumore (maligne sarkome). Nastaje iz krvnih sudova, a pored toga što može da se razvije bilo gde u telu (mreža krvnih sudova je tako rasprostranjena) najčešće se javlja na koži, jetri, dojkama, glavi ili vratu.

Kako nastaje angiosarkom

Angiosarkom nastaje kada normalne ćelije unutrašnjih obloga (omotača) krvnih sudova alterišu u maligne, postaju kancerogena masa i formiraju tumore. Tako izmenjene ćelije, umesto da odumru, nastavljaju da žive i šire se iz zahvaćenih krvnih sudova. Primarni angiosarkomi mogu da se prošire i da daju metastaze.

Koje osobe su u većem riziku da dobiju angiosarkom

Iako tačan razlog nastanka nije precizno određen i za ovaj malignitet važi sve što i za ostale, naučnici pretpostavljaju da genetske promene u DNK krvnih ili limfnih mogu da budu uzrok. Procenjuje se da oko 3 odsto svih angiosarkoma ima genetičko poreklo (porodična istorija iste bolesti).

Postoje još neki faktori rizika:

  • zračna terapija (posebno kod karcinoma dojke)
  • hronični limfedem
  • pojačana izloženost toksičnim materijama ili hemikalijama (posebno arsen, torijum dioksid ili polivinil-hlorid).

Po kojim simptomima možemo da prepoznamo angiosarkom?

Simptomi koji upućuju na razvoj angiosarkoma mogu da se razlikuju od osobe do osobe, a ispoljavanje zavisi od regije tela u kojoj se angiosarkom razvio. Tako se angiosarkomi na koži prepoznaju kao plavičasti ili crvenkasti čvorići, koji su osetljivi na uticaje i izazivaju krvarenje. Najčešće se pojavljuju na glavi ili na vratu. Ljubičasti čvorići ili kvržice na dojci su znak za uzbunu, jer mogu da ukazuju na angiosarkom dojke.

Kod angiosarkoma jetre simptomi mu slični drugim znacima kod bolesti ovog organa i to mogu da budu žutica, umor, konstantan bol u gornjem levom kvadrantu stomaka.

Postavljanje dijagnoze

Metode postavljanja dijagnoze su sledeće:

  • uzimanje detaljne anamneze
  • metode pregleda kože (od fizičkog pregleda do biopsije)
  • napredne dijagnostičke metode (poput magnetne rezonance).

Lečenje i raspoložive terapijske metode

Hirurška intervencija prilikom koje se angiosarkom uklanja je najčešći terapijski model. Ukoliko konzilijum tako proceni, moguće je uključivanje zračne terapije, hemioterapije ili kombinacije pre ili posle intervencije.

Ponekad nažalost nije moguće uraditi hiruršku intervenciju zbog dimenzija tumora ili proširenosti u ozbiljnijim stadijumima. Tada se često primenjuje radioterapija, a kombinacija zračne i hemoterapije može biti alternativa hirurškoj intervenciji ukoliko je nemoguće sprovesti je.

U uznapredovaloj fazi bolesti opcija je i ciljana terapija, kao i imunoterapija.

Podelite vest:

Pošaljite nam Vaše snimke, fotografije i priče na broj telefona +381 64 8939257 (WhatsApp / Viber / Telegram).

eKlinika zadržava sva prava nad sadržajem. Za preuzimanje sadržaja pogledajte uputstva na stranici Uslovi korišćenja.

Komentari

ePodcast

  • Eur: <% exchange.eur %>
  • Usd: <% exchange.usd %>