Povišeni limfociti ili limfocitoza javljaju se u slučaju 6 zdravstvenih problema

Priredio/la: I. V.    
Čitanje: oko 3 min.
  • 5

Koji broj limfocita u mikrolitru krvi se smatra visokim, šta sve može da znači povećanje limfocita i kako se leči

Limfocitoza je stanje, rezultat borbe imunog sistema protiv infekcije ili druge bolesti, pri čemu se bela krvna zrnca ili limfociti povećavaju. Stanje ne može da se spreči, ali može da se leči  rešavanjem uzroka zbog kojeg se povećava broj limfocita.

Šta je limfocitoza?

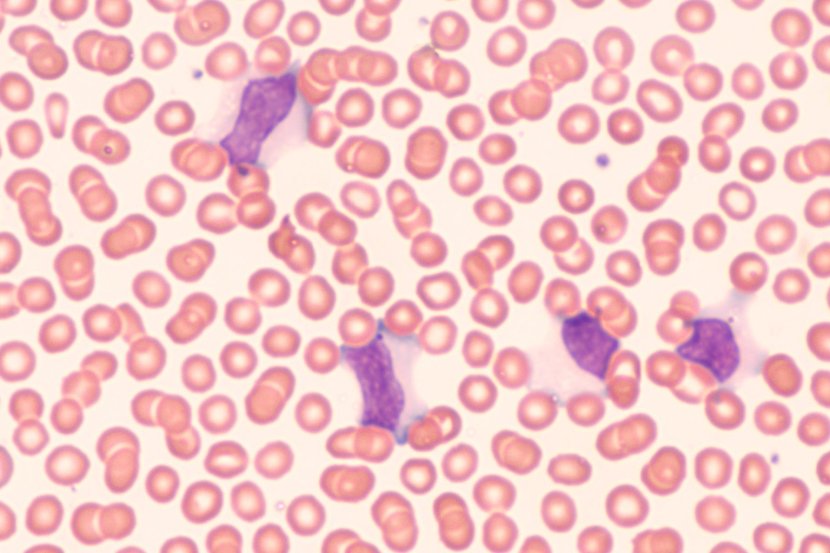
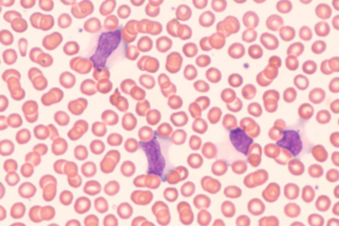
Limfocitoza ili visok broj limfocita označava veću količinu limfocita u krvi od normalnih vrednosti.  Limfociti su vrsta belih krvnih zrnaca, koja igraju ključnu ulogu u imunološkom sistemu, pomažući telu da se bori protiv infekcija. Privremeno visok broj limfocita obično znači da se telo bori protiv mikroba kako bi zaštitilo čoveka da se ne razboli. Međutim, u nekim slučajevima limfocitoza može da bude znak ozbiljnijeg stanja. Za odrasle osobe, visok broj limfocita znači da ima više od 4.000 limfocita u mikrolitru krvi.

Koliko je česta limfocitoza?

Limfocitoza je veoma česta, posebno kod ljudi:

  • Koji su imali nedavnu infekciju (najčešće virusnu)
  • Koji imaju problem sa dugotrajnom upalom, kao što je reumatoidni artritis.
  • Koji reaguju na novi lek
  • Koji imaju tešku medicinsku bolest, kao što je trauma
  • Koji su operasiali slezinu i više nemaju organ
  • Koji imaju dijagnozu određenih karcinoma poput leukemije ili limfoma.

Šta uzrokuje limfocitozu?

Visok nivo limfocita u krvi često ukazuje da se telo suočava sa infekcijom ili drugim zapaljenskim stanjem. Porast broja limfocita obično znači da ta bela krvna zrnca počinju da deluju kako bi oslobodili telo od pategona koji mogu da izazovu neko oboljenje. Ponekad ozbiljno stanje, poput karcinoma, koji utiče na krv ili limfni sistem, može da izazove povišene nivoe limfocita. Lekari navode da mnoga medicinska stanja mogu da izazovu limfocitozu:

Infekcije

Limfocitoza je često posledica virusnih infekcija. Bakterije i paraziti takođe mogu da izazovu infekciju, što dovodi do visokog broja limfocita. Infektivni uzroci limfocitoze su:

  • Epstein-Barr virus (virus koji izaziva mononukleozu)
  • Citomegalovirus (CMV)
  • Grip (grip)
  • Veliki kašalj
  • Adenovirus
  • Hepatitis
  • Vodene boginje
  • Zauške
  • Rubela
  • HIV.

Karcinom

U nekim slučajevima, limfocitoza je jedan od prvih znakova određenih karcinoma krvi (leukemija) ili karcinoma limfnog sistema (limfom). Karcinomi, koji imaju veze sa limfocitozom, su:

  • Hronična limfocitna leukemija
  • Non-Hočkin limfom
  • Akutna limfoblastna leukemija
  • Velika granularna limfocitna leukemija.

Drugi uzroci

  • Pušenje.
  • Alergijska reakcija na lek
  • Stres uzrokovan hitnom medicinskom pomoću
  • Neke autoimune bolesti
  • Asplenija (uklanjanje slezine).

Koji su simptomi limfocitoze?

Limfocitoza ne izaziva simptome. Međutim, mogu da se osete simptomi zbog onoga što uzrokuje porast broja belih krvnih zrnaca. Na primer, limfni čvorovi na vratu mogu da budu otečeni zbog infekcije, što može da izazove limfocitozu. U zavisnosti od uzroka, simptomi mogu da variraju - ili ne postoje ili su prilično teški. Često ljudi slučajno saznaju za visok broj limfocita nakon analize krvi, koju obićno rade zbog provere drugih stanja.

Kako se leči limfocitoza?

Lečenje limfocitoze podrazumeva rešavanje problema koji uzrokuje visok broj limfocita. Ako telo proizvodi bela krvna zrnca u borbi protiv patogena, lečenje možda neće ni biti potrebno.  Vremenom, imuni sistem se sam izbori sa ovim problemom. Ali, ako je porast belih krvnih zrnaca znak karcinoma, o opcijama lečenja neophodno je razgivarati sa lekarom.

Podelite vest:

Pošaljite nam Vaše snimke, fotografije i priče na broj telefona +381 64 8939257 (WhatsApp / Viber / Telegram).

eKlinika zadržava sva prava nad sadržajem. Za preuzimanje sadržaja pogledajte uputstva na stranici Uslovi korišćenja.

Komentari

  • kurcubic slavica

    11. jul 2024. | 11:48

    limfociti 51.50 a leukociti4.70, neurtrofiti1.88,sedimentacijaeritrocita19. imam reumatoidni artitris.I mala sam dve bakterijske infekcije eserihiju i klosebiju ,popila sam 5 vrsta antibiotika..

  • Jelena

    27. april 2025. | 20:29

    Dete 15 godina ima K-linfociti su 48,20 a normalno je od 20-46, a K-NE % 37,30 normalno je 44-72 a K- NE# 1,90 normalno je 2,10 --6,50 st ato ukazuje i da li predlazete dalje pretrage, kao mala devojcica je padala u nesvest i nekada joj sada puls bude visok , nekada se zali da je boli glava . Pratili smo i kod kardiologa i neurologa , sve su rekli da je ok, ali da se prati, sta vi predlazete

  • Ljiljana

    18. februar 2024. | 17:42

    Poštovani, laborat.izveštaj aqualab od danas. EK-NEU 47,5, EK-LYM 41.2, s-kreatinin 83,9 i s-kalijum 5,1.Molim za Vaše stručno tumačenje. Hvala! U očekivanju odgovora, ostajem s Poštovanjem, Ljiljana Damjanović

ePodcast

  • Eur: <% exchange.eur %>
  • Usd: <% exchange.usd %>