Zamor, bol u kostima, učestale infekcije, neki su od simptoma drugog po učestalosti raka krvi u Srbiji

Priredio/la: Danijela Tadić    
Čitanje: oko 4 min.
  • 0

Od prošle godine dostupna je savremena terapija u recidivu bolesti, čime je značajno unapređeno lečenje naših bolesnika. Ipak, neophodna nam je najefikasnija terapija i kod novodijagnostikovanih bolesnika kako bismo postigli najoptimalnije rezultate u lečenju, u smislu produženja života, uz očuvan kvalitet i aktivnu funkcionalnost obolelih,  naglasila je prof. dr Bila.

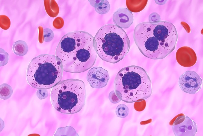
Multipli mijelom je rak plazmocitnih ćelija kostne srži. Plazmociti su podtip belih krvnih zrnaca i deo imunološkog sistema, sa zadatkom da proizvode antitela koja štite telo od infekcija.  Septembar je na svetskom nivou mesec posvećen podizanju svesti o malignim bolestima krvi. Cilje je da javnost upozna sa ovim oboljenjima, njihovom težinom i posledicama, da se unapredi prepoznavanje ovih bolesti, podrže istraživanja i pruži podrška obolelima i njihovim porodicama, navodi se u saopštenju Aktiva za multipli mijelom Srpskog lekarskog društva (SLD) i Srpske mijelomske grupe (SMG).

Oko 43 odsto pacijenata je mlađe od 65 godina

Stručnjaci napominju da je multipli mijelom drugi po učestalosti hematološki malignitet. U Srbiji, približno 500 ljudi godišnje dobije dijagnozu multiplog mijeloma, a oko 43 odsto pacijenata je mlađe od 65 godina, što predstavlja potencijalno radno aktivno stanovništvo.

Aktiv za multipli mijelom Srpskog lekarskog društva i Srpska mijelomska grupa ističu da intenzivno rade na podizanju svesti i edukaciji lekara i zdravstvenih radnika, pacijenata i njihovih porodica, od osnivanja 2008. godine. Cilj je unapređenje dijagnostike i lečenja obolelih od multiplog mijeloma. I ove godine SMG će sprovoditi edukativne aktivnosti i štampati edukativni materijal, kao što je "Priručnik za pacijente i njihove porodice".

Kada je potrebno da posumnjamo na multipli mijelom?

Prof. dr Jelena Bila, predsedavajuća Aktiva za multipli mijelom Srpskog lekarskog društva objašnjava da je ključno otkriti bolest na vreme i krenuti sa adekvatnim lečenjem.

- Upravo zato, naš slogan ovogodišnjeg obeležavanja meseca borbe protiv raka krvi je: "Da li znate šta je multipli mijelom?" Želja nam je da skrenemo pažnju opšte i stručne javnosti na ovu bolest. Preporuka je da se jednom do dva puta godišnje urade laboratorijske analize krvi. U slučaju postojanja izražene anemije, povišene vrednosti ukupnih proteina, visoke sedimentacije i nalaza oslabljene bubrežne funkcije, ako se pacijent žali na zamor, malaksalost, bol u kostima, učestale infekcije, izabrani lekar u domu zdravlja treba da posumnja na multipli mijelom i uputi bolesnika hematologu na dalje analize i preglede – naglašava prof. dr Jelena Bila.

multipli mijelom

Komplikacije mogu da dovedu do trajnog nvaliditeta

U kliničkoj slici multiplog mijeloma često se javljaju ozbiljne komplikacije koje mogu da budu  praćene razvojem trajnih invaliditeta za razliku od drugih hematoloških maligniteta. Multipli mijelom je maligno oboljenje koštane srži koje karakteriše nekontrolisano umnožavanje plazmocita – belih krvnih zrnaca u koštanoj srži čija je normalna funkcija da luče antitela takozvane, imunoglobuline i štite organizam od virusnih infekcija i nastanka tumora. Umesto toga, u multiplom mijelomu se, uz nekontrolisano umnožavanje malignih plazmocita, stvaraju velike količine nefunkcionalnih imunoglobulina, koje dovode do kliničkih manifestacija kao što su anemija, oštećenje bubrežne funkcije, infekcije, kao i oštećenja kostiju praćena spontanim prelomima i hroničnim bolom.

Bolesnici sa  multiplim mijelomom imaju oslabljen imuni sistem i osetljivi su na virusne infekcije.

Šta je cilj lečenja?

Ova bolest značajno skraćuje životni vek obolelih i negativno utiče na njihov kvalitet života, socijalno i radno fukcionisanje, ali savremena terapija može dobro da kontroliše bolest

- Savremeni pristup u lečenju multiplog mijeloma podrazumeva primenu najefikasnije terapije u prvoj liniji, znači, odmah po postavljanju dijagnoze, jer se tako postižu najbolji rezultati lečenja, najduže vreme bez progresije bolesti i produžava životni vek. Kažemo da su osnovni ciljevi lečenja multiplog mijeloma postizanje dobro kontrolisanog hroničnog stanja i kvalitetan životni vek jednak prosečnoj dužini života opšte populacije, što se postiže primenom efikasnih i bezbednih novih terapijskih modaliteta - ističe prof. dr Bila.

Prof. Bila napominje i da je važno prilagoditi terapiju individualnim potrebama bolesnika, kako bi se postigli najbolji mogući rezultati i smanjio rizik od komplikacija.

- To se može postići ukoliko su nam dostupne inovativne terapije koje su klinički visoko efikasne i dobro se podnose. Zahvaljujući razumevanju države, nama je od prošle godine dostupna savremena terapija u recidivu bolesti, čime je značajno unapređeno lečenje naših bolesnika. Ipak, neophodna nam je najefikasnija terapija i kod novodijagnostikovanih bolesnika kako bismo postigli najoptimalnije rezultate u lečenju, u smislu produženja života, uz očuvan kvalitet i aktivnu funkcionalnost obolelih - naglasila je prof. dr J. Bila.

Podelite vest:

Pošaljite nam Vaše snimke, fotografije i priče na broj telefona +381 64 8939257 (WhatsApp / Viber / Telegram).

eKlinika zadržava sva prava nad sadržajem. Za preuzimanje sadržaja pogledajte uputstva na stranici Uslovi korišćenja.

Komentari

ePodcast

  • Eur: <% exchange.eur %>
  • Usd: <% exchange.usd %>