Da li su svi karcinomi krvi smrtonosni i kako se leče mijeloproliferativne neoplazme

   
Čitanje: oko 4 min.
  • 0

Mijeloproliferativne neoplazme (mijeloproliferativni poremećaji) predstavljaju retke vrste karcinoma krvi koje nastaju kada organizam proizvodi preveliku količinu crvenih krvnih zrnaca, belih krvnih zrnaca ili trombocita.

Šta su mijeloproliferativne neoplazme (MPN)?

Reč je o retkim, potencijalno po život opasnim karcinoma krvi koji nastaju kada koštana srž proizvodi preveliku količinu krvnih ćelija. Krvne ćelije obuhvataju crvena krvna zrnca, bela krvna zrnca i trombocite. One se stvaraju u mekom, sunđerastom tkivu unutar kostiju. Kod mijeloproliferativnih neoplazmi dolazi do poremećaja u procesu stvaranja krvnih ćelija.

Ove bolesti se razvijaju veoma sporo, pa osobe mogu godinama imati bolest a da ne primete simptome. Mijeloproliferativne neoplazme se nazivaju i hronične mijeloproliferativne neoplazme ili mijeloproliferativni poremećaji. Termin „hronično“ znači da je stanje dugotrajno. Retko, mijeloproliferativna neoplazma može preći u teži, ozbiljniji oblik bolesti.

Postoje terapije koje ublažavaju simptome i smanjuju rizik da se bolest razvije u teži oblik.

Koje vrste mijeloproliferativnih neoplazmi postoje i koga najčešće pogađaju

U zavisnosti od vrste bolesti, koštana srž može da proizvodi previše crvenih krvnih zrnaca, belih krvnih zrnaca, trombocita ili kombinaciju više tipova ćelija. Takve ćelije se često ponašaju drugačije u poređenju sa zdravim krvnim ćelijama. Najvažniji faktori rizika su starost i pol.

Mijeloproliferativne neoplazme mogu da se jave u različitim životnim dobima, ali su najčešće kod osoba u pedesetim, šezdesetim godinama i starijih. Policitemija vera je češća kod muškaraca, dok je esencijalna trombocitemija češća kod žena. Ostali oblici javljaju se podjednako kod oba pola.

Kako utiču na organizam? 

Posledice zavise od tipa zahvaćenih ćelija. Na primer, jedan oblik povećava rizik od srčanog ili moždanog udara, dok drugi može da izazove anemiju.

Sve krvne ćelije potiču od matičnih ćelija u koštanoj srži. Koštana srž proizvodi dve osnovne vrste matičnih ćelija: mijeloidne i limfoidne. Limfoidne matične ćelije postaju bela krvna zrnca koja pomažu u borbi protiv infekcija. Mijeloidne matične ćelije mogu da postanu crvena krvna zrnca (koja prenose kiseonik), bela krvna zrnca ili trombociti (koji sprečavaju prekomerno krvarenje).

Matične ćelije dobijaju „uputstva“ od gena koji određuju njihov razvoj i funkciju. Kada dođe do mutacija gena, ćelije praktično dobijaju pogrešna uputstva i nastavljaju da se nekontrolisano dele. Vremenom se nagomilavaju u koštanoj srži ili krvotoku, ometajući normalan protok krvi. Ovakva blokada može da dovede do ozbiljnih zdravstvenih problema.

Najčešće mijeloproliferativne neoplazme

Policitemija vera

Najčešći oblik. Koštana srž proizvodi previše crvenih krvnih zrnaca, zbog čega krv postaje gušća i sporije cirkuliše. To povećava rizik od stvaranja krvnih ugrušaka, srčanog i moždanog udara. Retko, bolest može da pređe u akutnu leukemiju.

Mijelofibroza

Najagresivniji oblik. Koštana srž stvara abnormalne ćelije koje izazivaju zapaljenje i stvaranje ožiljnog tkiva. Vremenom koštana srž gubi sposobnost stvaranja dovoljno crvenih krvnih zrnaca, što dovodi do anemije, kao i do smanjene proizvodnje trombocita. Kod nekih osoba može da pređe u akutnu mijeloidnu leukemiju.

Esencijalna trombocitemija

Karakteriše je prekomerna proizvodnja trombocita. Višak trombocita može da izazove stvaranje ugrušaka i poveća rizik od srčanog ili moždanog udara. Bolest se često otkriva slučajno, tokom rutinskih analiza krvi. Kod malog broja pacijenata može da pređe u leukemiju.

Ostale vrste

Hronična eozinofilna leukemija (CEL): prekomerna proizvodnja eozinofila; retko može preći u akutnu mijeloidnu leukemiju.

Hronična mijeloidna leukemija (CML): prekomerna proizvodnja granulocita.

Hronična neutrofilna leukemija (CNL): prekomerna proizvodnja neutrofila.

Neklasifikovana mijeloproliferativna neoplazma (MPN-U): ne uklapa se u druge kategorije i može da zahvati različite vrste ćelija.

Simptomi, uzroci bolesti i faktori rizika

U ranim fazama simptomi često izostaju. Kako bolest napreduje, može da dođe do uvećanja slezine, što izaziva osećaj punoće ili nelagodnosti ispod levog rebarnog luka. Ostali simptomi zavise od konkretne bolesti i mogu da uključe umor, noćno znojenje, groznicu, modrice, krvarenje, glavobolje, vrtoglavicu, svrab kože, bol u kostima i gubitak telesne mase.

Sve mijeloproliferativne neoplazme su stečeni genetski poremećaji, što znači da se ne nasleđuju. Nastaju usled mutacija gena koji regulišu rast ćelija.

Najčešće mutacije uključuju JAK2 mutacije, MPL i CALR mutacije, hromozomske promene, (poput Filadelfija hromozoma kod CML-a). Rizik povećavaju starost, pol, porodična istorija, izloženost zračenju i toksinima poput benzena.

Kako se postavlja dijagnoza i koje su opcije lečenja

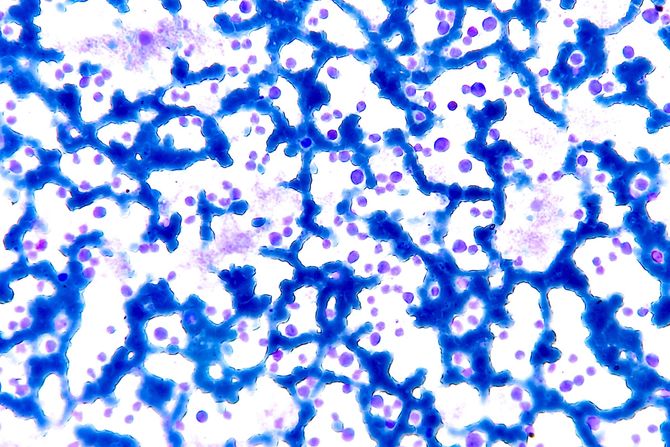
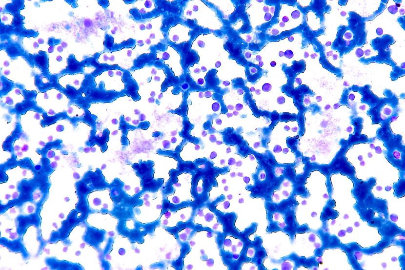
Dijagnoza se postavlja na osnovu kompletne krvne slike, razmaza periferne krvi, biopsije koštane srži i genetskog testiranja.

Jedini potencijalni lek je alogena transplantacija matičnih ćelija, ali nije pogodna za sve pacijente. Lečenje se uglavnom fokusira na kontrolu simptoma, smanjenje broja ćelija i prevenciju komplikacija, uz primenu lekova, ciljane terapije, hemoterapije, imunoterapije ili transfuzija.

Život sa mijeloproliferativnim neoplazmama i prognoze za pacijente

Prognoza zavisi od vrste bolesti, vremena postavljanja dijagnoze i odgovora na terapiju. Mnogi pacijenti žive godinama uz adekvatno praćenje i lečenje. Okvirne stope su sledeće:

  • CML: petogodišnje preživljavanje oko 90 odsto
  • Policitemija vera i CNL: prosečno oko 20 godina
  • Esencijalna trombocitemija: dug život uz terapiju
  • Primarna mijelofibroza: 5–10 godina nakon dijagnoze

Ove bolesti same po sebi nisu neposredno smrtonosne, ali mogu da dovedu do ozbiljnih, po život opasnih komplikacija, poput srčanog ili moždanog udara.

(eKlinika.rs)

Podelite vest:

Pošaljite nam Vaše snimke, fotografije i priče na broj telefona +381 64 8939257 (WhatsApp / Viber / Telegram).

eKlinika zadržava sva prava nad sadržajem. Za preuzimanje sadržaja pogledajte uputstva na stranici Uslovi korišćenja.

Komentari

ePodcast

  • Eur: <% exchange.eur %>
  • Usd: <% exchange.usd %>