Novi softverski metod prenatalne dijagnostike precizno otkriva urođene srčane mane

Priredio/la: I. V.    
Čitanje: oko 2 min.
  • 1

Iako se širom sveta preporučuje fetalni ultrazvučni pregled, uključujući i 5 pregleda srca, dosadašnja dijagnoza abnormalnosti srca pokazala se kao nedovoljnom i nepreciznom

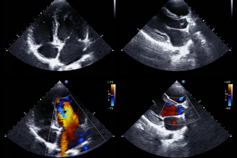
Kongenitalna bolest srca (CHD) ili oboljevanje od hronične srčane bolesti je stanje srčanih abnormalnosti i najčešća je urođena mana. Širom sveta preporučuje se fetalni ultrazvučni pregled, uključujući 5 pregleda srca koji bi zajedno mogli da otkriju 90 odsto ove složene bolesti srca. Međutim, u praksi se pokazalo da je osetljivost na ovakvu vrsta pregleda dosta niska, samo 30 procenata. Tu sliku promenio je američki tim naučnika koji je kreirao softverski metod dijagnostike koji je 100 odsto precizan u razlikovanju normalnog od abnormalnog srca.

Višesloja obrada podataka

Naučni tim, koji je za svoje istraživanje dobio podršku Američkog udruženja za srce, Nacionalnog instituta za zdravlje i Ministarstva odbrane, pretpostavio je da su loši rezultati otkrivanja bolesti izazovi u tumačenju srčanog prikaza, tačnije dijagnostički kvalitet snimka/UZ pregleda, kao i da bi softversko istraživanje, zasnovano na veštačkim neuronskim mrežama, u kome se koristi više slojeva obrade podataka, moglo da poboljša teško otkrivanje kongenitalne bolesti srca.

Novi softverski model pregleda srca postigao ostetljivost od 95 odsto

Koristeći 107.823 snimaka sa 1.326 retrospektivnih ehokardiograma i pregleda fetusa od 18 do 24 nedelje, istraživački tim ustanovio je ansambl neuronskih mreža kako bi identifikovali preporučene srčane preglede i  napravili razliku između normalnog srca i složene kongenitalne bolesti srca. Takođe su koristili modele segmentacije za izračunavanje standardnih fetalnih kardiotorakalnih merenja. U testiranoj grupi od 4.108 fetalnih pregleda, novi softverski model pregleda srca postigao je ostetljivost od 95 odsto, specifičnost od 96 procenata i bio 100 odsto precizan u razlikovanju normalnog od abnormalnog srca.

Preciznije otkrivanje fetalne kongenitalne bolesti srca

Softverska dijagnostika zasnivala se na klinički relevantnim karakteristikama, a merenja srca su bila u korelaciji sa prijavljenim merama za normalno i abnormalno srce. Tim povodom istraživački tim saopštio je da ova vrsta precizne dijagnostike može značajno da poboljša otkrivanje fetalne kongenitalne bolesti srca, ali i da proširi opcije telemedicine za prenatalnu negu, u vreme kada pandemija covid 19 ograničava pristup pacijenata specijalizovanim zdravstvenim institucijama. Ovo je bila prva upotreba kompjuterske dijagnostike za udvostručavanje standardnih kliničkih performansi na kritičnom i globalnom dijagnostičkom izazovu.

Podelite vest:

Pošaljite nam Vaše snimke, fotografije i priče na broj telefona +381 64 8939257 (WhatsApp / Viber / Telegram).

eKlinika zadržava sva prava nad sadržajem. Za preuzimanje sadržaja pogledajte uputstva na stranici Uslovi korišćenja.

Komentari

  • Minda

    13. januar 2022. | 13:16

    Let me just say your site is amazing! It is well put together and easy to navigate which is a plus. With such a nice layout you must attract a lot of visitors. I just wanted to give you a heads up because your site inspired me to build my own. I hope everything is going great and much success in your future. Thank and have the best of day! zbVmAywkz5N4jq65

ePodcast

  • Eur: <% exchange.eur %>
  • Usd: <% exchange.usd %>