Metastaze mogu da budu prisutne i bez simptoma

Priredio/la: Ma.R.    
Čitanje: oko 4 min.
  • 1

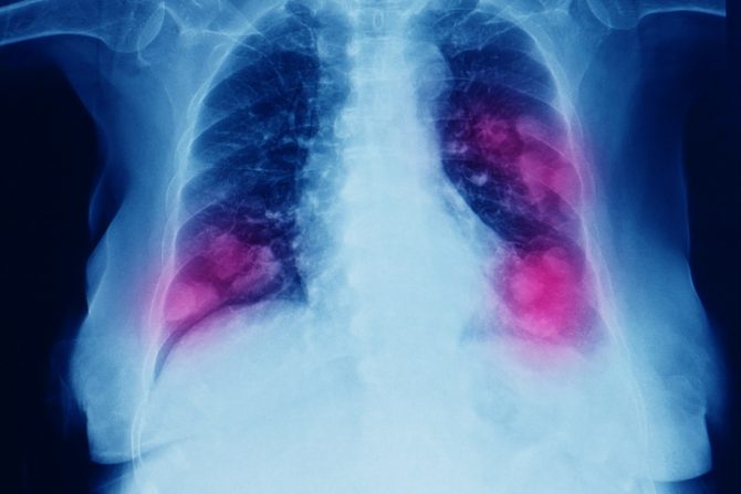
Najčešća mesta, odnosno organi na koje se primarni rak u vidu metastaza širi jesu kosti, jetra i pluća

Metastaze predstavljaju proces širenja ćelija primarnog raka na druge organe i delove tela. Rak koji se širi sa mesta gde je počeo do udaljenih delova tela naziva se metastatski rak. Kod mnogih vrsta karcinoma, metastatski znači i IV stadijum maligne bolesti.

Šta se vidi ispod mikroskopa kada se gledaju metastaze

Kada se posmatraju pod mikroskopom i ispituju, metastatske ćelije raka imaju iste karakteristike kao ćelije primarnog karcinoma. Dakle, ne izgledaju kao ćelije mesta gde je metastatski rak otkriven. Upravo na osnovu toga lekari i mogu da kažu da je u pitanju rak koji se proširio iz drugog dela tela.

Metastatski rak po tipu i vrsti ima isto ime (naziv) kao i primarni. Na primer, rak dojke koji se širi na pluća naziva se metastatski rak dojke, a ne rak pluća. Tretira se kao rak dojke IV stadijum sa metaszatama na plućima, a ne kao rak pluća. Ponekad se u slučaju dijagnoze metastatskog karcinoma lekari ne mogu da kažu gde je počeo maligni proces, odnosno, gde je mesto primarnog karcinoma. Ovaj tip raka se naziva rak nepoznatog primarnog porekla (CUP).

Kako se rak širi

Tokom procesa nastajanja metastaza, ćelije raka se šire na druge delove tela sa mesta u telu gde su se najpre razvile (formirale). Metastaze, odnosno širenje ovih ćelija se odvija u nekoliko koraka:

  • rastu i šire se u obližnjem zdravom tkivu
  • kreću se kroz zidove obližnjih limfnih čvorova ili krvnih sudova
  • putuju kroz limfni sistem i krvotok do drugih delova tela
  • zaustavljaju se u malim krvnim sudovima na nekoj daljoj lokaciji u odnosu na mesto primarnog karcinoma, uz invaziju na zidove krvnih sudova i kretanje u okolnim tkivima
  • rastu u obližnjim ili udaljenim tkivima dok se ne formira mali tumor
  • izazivaju rast novih krvnih sudova, što stvara dodatnu prokrvljenost i omogućava metastatskom tumoru da nastavi da raste.

Neke od njih su u stanju da formiraju nove tumore u drugim delovima tela. Metastaze, odnosno metastatske ćelije raka takođe mogu ostati neaktivne na udaljenom mestu od primarnog karcinoma čak i godinama pre nego što počnu ponovo da rastu.

Gde najčešće primarni karcinomi daju metastaze

Rak se može proširiti gotovo na bilo koji deo tela, iako je veća verovatnoća da će se različite vrste raka širiti na određena područja od drugih. Najčešća mesta, odnosno organi na koje se primarni širi jesu kosti, jetra i pluća. Evo nekih uobičajenih modela širenja raka sa primarnog mesta nastajanja na ostale organe, ne uključujući limfne čvorove:

  • rak kostiju: bešika, jetra, pluća
  • rak debelog creva: jetra, pluća, peritoneum
  • bubreg: nadbubrežna žlezda, kosti, mozak, jetra, pluća
  • pluća: nadbubrežna žlezda, kosti, mozak, jetra, druga pluća
  • melanom: kosti, mozak, jetra, pluća, koža, mišići (meka tkiva)
  • jajnici: jetra, pluća, peritoneum
  • pankreas: jetra, pluća, peritoneum
  • prostata: nadbubrežna žlezda, kost, jetra, pluća
  • kolorektalni karcinom: jetra, pluća, peritoneum
  • štitna žlezda: jetra, pluća
  • materica: jetra, pluća, peritoneum, vagina.

Simptomi metastatskog raka

Metastatski rak se ponekad javlja i bez simptoma. Kada se simptomi pojave, kakvi su i kog intenziteta, zavisi od veličine i lokacije metastatskih tumora. Neki uobičajeni znaci metastatskih karcinoma su:

  • jak bol i prelomi (kada se rak proširio na kosti)
  • glavobolja, napadi ili vrtoglavica (kada se rak proširio na mozak)
  • kratak dah (kada se rak proširio na pluća)
  • žutica ili otok abdomena (kada se rak proširio na jetru).

Lečenje metastatskog raka

Cilj lečenja metastatskog karcinoma je zaustavljanje ili usporavanje rasta malignih ćelija. Neki ljudi mogu da žive godinama sa metastatskim rakom koji je dobro kontrolisan adekvatnom terapijom. Drugi tretmani mogu da poboljšaju kvalitet života ublažavanjem simptoma. Ova vrsta nege se naziva palijativno zbrinjavanje.

Lečenje zavisi od tipa primarnog raka, gde se proširio, terapijskih tretmana u prošlosti i opšteg zdravstvenog stanja. Naučnici neprekidno proučavaju nove načine za zaustavljanje rasta primarnih, kao i metastatskih ćelija karcinoma.

Podelite vest:

Pošaljite nam Vaše snimke, fotografije i priče na broj telefona +381 64 8939257 (WhatsApp / Viber / Telegram).

eKlinika zadržava sva prava nad sadržajem. Za preuzimanje sadržaja pogledajte uputstva na stranici Uslovi korišćenja.

Komentari

  • VESNA

    23. decembar 2022. | 09:21

    Moj suprug ima ZLOCUDNI TUMOR DESNOG PLUCNOG KRILA.NEMA METASTAZE ZA SADA.ALI AKO SE OVOLIKO CEKA NEZNAM.PRIMIO JE HEMIJOTERAPIJE U ZAJECAR.GDE SU DVA PUTA ODLAGALI JER NEMAJU LEKOVE.POSLE TOGA SNIMANJA KONZILIJUM U NIŠ.TREBA ZRACENJE U KLADOVO.APARAT U KVARU DVA MESECA.MOLIM DA GA VRATE U NIS (cekanje)KONACNO GA POZVALI NA OBELEŽAVANJE MESTA GDE SE NALAZ.SADA CEKAMO POZIV DA KRENE SA ZRACENJEM.ZASTO OVOLIKO ČEKANJA?P.S.NEMOŽE OPERACIJA JER SE NALAZI NA SRCANOJ VENI.

ePodcast

  • Eur: <% exchange.eur %>
  • Usd: <% exchange.usd %>