Oštećenje pluća nije glavni pokretač stalnih infekcija kod cistične fibroze, otkriva nova studija

   
Čitanje: oko 4 min.
  • 1

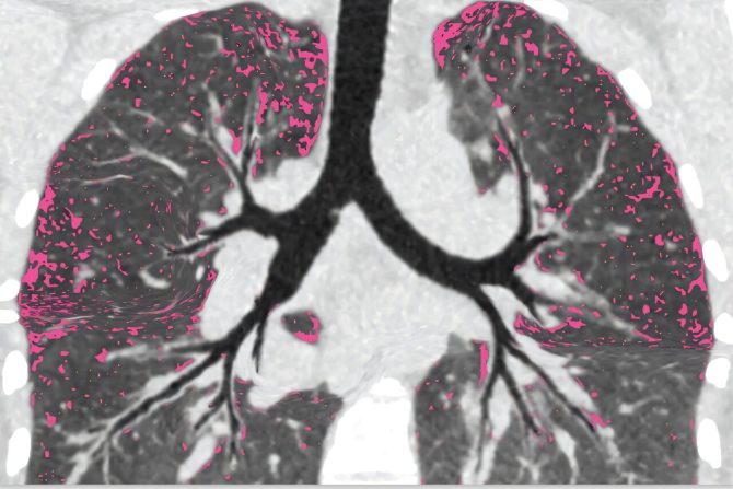
Cistična fibroza uzrokuje nakupljanje lepljive sluzi koja zarobljava bakterije i vremenom, infekcije počinju da oštećuju pluća

Oštećenje pluća nije glavni pokretač perzistentnih, stalnih infekcija kod pacijenata sa cističnom  fibrozom, otkriva istraživanje naučnika sa University of Washington School of Medicine i University of Iowa. Nova studija je pažljivo uzorkovala različite regione pluća kod ljudi sa cističnom fibrozom kako bi se razumelo zašto infekcije i dalje traju nakon primene novih tretmana, a izveštaj o istraživanju objavljen je u časopisu Cell Host & Microbe.

Konstantne infekcije vremenom izazovu oštećenje pluća

Cistična fibroza uzrokuje nakupljanje lepljive sluzi koja zarobljava bakterije. Vremenom, infekcije oštećuju pluća. Uprkos primanju novih lekova zvani modulatori koji leče osnovni uzrok cistične fibroze, većina ljudi sa ovim genetskim stanjem ostaje inficirana bakterijama koje su imali pre lečenja.

- Modulatori su neverovatan novi tretmani koji su zaista poboljšali kvalitet života ljudi. Međutim, infekcije uspevaju da se održe, čak i sa najboljim modulatorom, i naš zadatak je da saznamo zašto se to dešava - ističe dr Samantha Durfey, istraživač sa University of Washington School of Medicine koja je vodila istraživanje.

Razumevanje bolesti često je ograničeno uzorcima koje lekari mogu da dobiju. Na primer, infekcije pluća ili bubrega uključuju proučavanje sluzi ili urina. Ali, šta ako bi mogli da uđu u ljudske organe kako bi "izmerili" bolest u različitim oblastima i videli kako reaguju na lečenje?Istraživači sa University of Washington School of Medicine i University of Iowa su upravo to i uradili.

Jako oštećeni plućni regioni ne mogu da se oslobode infekcije

Pre nego što su učesnici studije počeli sa modulatorima, istraživači su ušli u pluća pacijenata tankim kamerama - bronhoskopima. Uzeli su uzorke iz regiona koji su se razlikovali po količini oštećenja, infekcije i upale. Zatim su ponovo ušli u iste plućne oblasti godinu dana nakon lečenja kako bi videli gde je infekcija ostala i koje karakteristike pluća imaju veze sa perzistentnom infekcijom.

- Vodeća ideja u ovoj oblasti je da pacijenti ostaju inficirani jer jako oštećeni plućni regioni ne mogu da se oslobode infekcije, slično kao što se oštećena tkiva u ranama inficiraju. Ako je sličan proces odgovoran za stalne infekcije pluća izazvane cističnom fibrozom, istraživanje može da se  fokusira na ove oblasti - naglašava dr Sid Kapnadak, pulmolog sa , koji je vodio uzorkovanje pluća za studiju.

Kada su infekcije nestale, upala pluća je skoro potpuno nestala

- Ono što smo otkrili bilo je iznenađenje, i bilo je dobrih i ne tako dobrih vesti. Dobra vest je bila da, kada su infekcije nestale, upala plućaje skoro potpuno nestala. Stoga, buduće oštećenje pluća moglo bi da bude smanjeno kod ljudi koji su se oporavili. Međutim, ljudi koji su ostali inficirani imali su infekciju i upalu svuda gde smo gledali, uključujući i područja pluća sa vrlo malo oštećenja - objasnila je dr Durfey navodeći da nalazi ukazuju na to da oštećenje pluća možda nije glavni uzrok perzistencije infekcije, ali i da izazivaju zabrinutost da bi funkcija pluća kod ljudi sa bakterijskom infekcijom mogla da nastavi da se pogoršava.

- Sada moramo da otkrijemo kako infekcija može da opstane u svim delovima pluća. Bakterije mogu da se prilagode na nove načine kako bi se oduprle čišćenju čak i kada se najmanje oštećeni delovi pluća leče najboljim lekovima koje imamo - istakao je dr Pradeep Singh, viši istraživač u timu, lekar intenzivne nege na University of Washington School of Medicine i profesor medicine i mikrobiologije na University of Washington School of Medicine u Sijetlu.

Istraživači takođe istražuju druge mogućnosti. Kako navode, prethodna ideja o tome da su jako oštećeni regioni pluća krivac možda je delimično tačna, jer bakterije bi mogle da se šire iz ovih područja i prošire na neoštećena područja. Naučnici priznaju da su napredovali posmatrajući unutrašnjost zaraženih pluća, ali i da još uvek postoji mnogo toga što ne razumeju.

Podelite vest:

Pošaljite nam Vaše snimke, fotografije i priče na broj telefona +381 64 8939257 (WhatsApp / Viber / Telegram).

eKlinika zadržava sva prava nad sadržajem. Za preuzimanje sadržaja pogledajte uputstva na stranici Uslovi korišćenja.

Komentari

  • Rada

    9. avgust 2025. | 19:10

    Veoma mi znaci vas savet.mladji sin mi ima sada 37 god.dr.su mu rekli da ima taj problem.niko ni od roditelja ni bake ni deke to nema.zelela bih da znam koliko dugo mogu da mu pomazu lekovi koji su mu dati.Hvala unapred.( Zabrinuta majka). Nikada nije bio bolestan pre toga,jedino sto je pusac.

ePodcast

  • Eur: <% exchange.eur %>
  • Usd: <% exchange.usd %>