Ključna kost se često lomi – kako se leči i koliko dugo traje zarastanje

Priredio/la: I. V.    
Čitanje: oko 7 min.
  • 2

Zbog kritične lokacije ključne kosti, svaka ozbiljna sila kojoj je rame izloženo, poput direktnog pada na rame ili pada na ispruženu ruku, prenosi silu na ključnu kost, zbog čega je ona jedna od najčešće lomljenih kostiju u telu

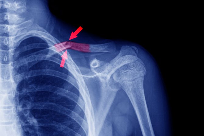
Ključna kost ili klavikula je jedna od kostiju u telu koja se najčešće lomi. Simptomi slomljene ključne kosti su jak bol i otok na mestu preloma, sa vidljivim deformitetom u nekim slučajevima. Prelom ključne kosti dijagnostikuje se fizičkim pregledom i rendgenskim snimkom, a prelomi su klasifikovani u tri tipa, na osnovu lokacije preloma.

Gde se nalazi ključna kost?

Ključna kost je kost koja povezuje grudnu kost (grudnu kost) sa ramenom. To je veoma čvrsta kost koja ima blagi S-oblik i lako se može videti na telu mnogih ljudi. Sa grudnom kosti u zglobu povezuje je hrskavica koja se naziva sternoklavikularni zglob. Na drugom kraju, kost se susreće sa predelom ramena, na delu lopatice koji se zove akromion, a zglob na tom kraju kosti naziva se akromioklavikularni zglob. Ključna kost deluje kao podupirač za povezivanje grudne kosti sa lopaticom. Zbog kritične lokacije ključne kosti, svaka ozbiljna sila kojoj je rame izloženo, poput pada direktno na rame ili pada na ispruženu ruku, prenosi silu na ključnu kost. Kao rezultat toga, ključna kost je jedna od najčešće lomljenih kostiju u telu.

Kako da znamo da je slomljena ključna kost?

Kada se kosti lome, dolazi do otoka zbog krvarenja iz krvnih sudova oko kosti. Javlja se i bol zbog  slomljene kosti zbog oštećenja mikroskopskih nervnih završetaka oko kosti. Ponekad je kost tako slomljena da stvara ugao između slomljenih krajeva, što uzrokuje deformitet duž kosti. Obično su kod slomljene ključne kosti bol i otok jaki i deformitet može da bude vidljiv. Često se javlja bol na mestu preloma sa svakim pokušajem pomeranja ruke. Jedini način da se ustanovi da li je kost polomljena je rendgenski snimak tog područja.

Šta treba uraditi ako mislite da vam je ključna kost slomljena?

Ako mislite da je ključna kost slomljena, najbolje je da odmah potražite medicinsku pomoć. Najbolji način da lečite povredu, dok ne stignete do lekara ili hitne pomoći, jeste da imobilišete ruku i rame tako što ćete držati ruku uz telo drugom rukom ili uz pomoć kaiša. Trebalo bi staviti  led na povređeno mesto na 20 do 30 minuta, pazeći da se koža ne ošteti, ne smrzne. Lekovi protiv bolova koji mogu da se koriste su tilenol ili nesteroidni agensi bez recepta, kao što su ibuprofen ili naproxen. Jedini put kada ne bi trebalo uzimati lek je ako dođe do preloma tokom kojeg polomljene kosti probuše kožu. U tom slučaju preloma možda je potrebno obaviti operaciju kako bi se uklonila prljavština, na primer, i sanirala koža. Druge indikacije teže povrede su peckanje, utrnulost ili slabost u šaci ili ruci. Ako je povreda blizu grudne kosti i osoba ima kratak dah ili otežano gutanje, treba odmah potražiti medicinsku pomoć.

Kako izgleda tretman frakture ključne kosti?

Prva stvar koju će lekar uraditi je rendgenski snimak kako bi utvrdio da li je ključna kost slomljena, gde se prelom nalazi i na koliko delova je kost polomljena. Prelomi ključne kosti se u osnovi dele na tri tipa, i to na osnovu lokacije:

  • prelomi u blizini grudne kosti su najmanje česti (manje od 5 procenata svih preloma ključne kosti)
  • prelomi blizu AC zgloba su drugi najčešći i mogu se pojaviti u mnogo različitih obrazaca
  • najčešći prelomi klavikule su u sredini osovine kosti, otprilike na pola puta između grudne kosti i AC zgloba.

Najčešći način lečenja preloma u sredini je imobilizacija ili remenom ili posebnim zavojem, koji se zove udlaga/gips. Istraživanja su pokazala da ovi prelomi zarastaju jednako brzo i dobro sa remenom kao i sa gipsom, tako da se u većini slučajeva preporučuje remen. Gips je generalno neudoban, težak za konstantno nošenje 6 ili 8 nedelja, može dovesti do problema sa kožom i higijenom jer ne može da se skida kako bi se bar pazuh pacijenta oprao.

Druga stvar koja pomaže u lečenju preloma ključne kosti je ublažavanje bolova hladnom terapijom i lekovima protiv bolova. Preporučuje se da "zaledite", ohladite mesto preloma 15 do 20 minuta, svaka dva sata, koliko je potrebno da biste smanjili bol i otok. Toplota se ne preporučuje. Lekovi protiv bolova u obliku narkotika su najbolji za ublažavanje bolova zbog preloma ključne kosti i možda će biti potrebno nekoliko nedelja da pacijnetu pomognu da zaspi. Mnogi pacijenti sa ovom povredom moraju da spavaju sedeći kako bi im bilo udobno. Mogu se koristiti i drugi lekovi za ublažavanje bolova, kao što su acetaminofen ili nesteroidni lekovi, ali oni generalno, sami po sebi, neće biti adekvatni, sve dok bol i otok ne počnu da se povlače.

Koliko vremena treba da zaraste prelom ključne kosti?

Koliko je vremena potrebno za zarastanje preloma zavisi od mnogih faktora, kao što su starost, lokacija preloma i koliko je delova polomljeno. Prelomi ključne kosti kod dece (mlađe od 8 godina) mogu da zarastu za četiri ili pet nedelja, a prelomi ključne kosti kod adolescenata mogu da potraju 6 do 8 nedelja. Međutim, prelomi kod odraslih ili tinejdžera, koji su prestali da rastu, potrebno je 10 do 12 nedelja da zarastu, a nekada i duže. Većina preloma ključne kosti kod odrasle osobe će potpuno zarasti za oko četiri meseca. Lekari podsećaju da prelomi ključne kosti na više delova traju duže od, na primer, klavikule slomljene samo na jednom mestu.

Šta je moguće raditi dok čekamo da zaraste prelom ključne kosti?

U roku od nekoliko dana od preloma trebalo bi da možemo da pomeramo prste, zglob i lakat bez previše neprijatnosti. Kako bol u predelu ključne kosti slabi, trebalo bi da počnemo da pomeramo malo rameni zglob kako bi sprečili da se zglob previše zategne. Ako se rameni zglob ukoči, to je stanje poznato kao "smrznuto rame". Obično kada bol u prelomu počne da nestaje, osoba može da počne da pomera rame. Lekar može pacijentu da pokaže neke vežbe ili ga pošalje fizioterapeutu. Generalno, pomeranje ramena ne sprečava zarastanje preloma ključne kosti kada prelom počne da zarasta.

Kada se prelom zaleči, pomeranje uglavnom nije ograničeno. Možda će proći meseci pre nego što prelom dovoljno zaraste da izdrži kontakt, odnosno bavljenje sportom. Jačanje ramena i ruke treba sačekati, sve dok prelom ne zaraste. Vežbe ne treba da se rade sve dok lekar to ne odredi. Takođe, pojedinci koji žele da ostanu u aerobnoj formi obično mogu da počnu sa laganim vežbama kao što su hodanje.

Šta možemo da očekujemo kada prelom ključne kosti zaraste?

Obično nema ograničenja kada prelom klavikule zaraste. Većina pacijenata ima pun opseg pokreta i može se vratiti aktivnostima bez ograničenja. Za zarastanje nekih preloma može biti potrebno 6 do 9 meseci. Ako prelom ne zaraste, možda će biti neophodna operacija. Neki prelomi klavikule, koji ne zarastu u potpunosti, nisu bolni i možda operacija neće ni biti potrebna. Mnogi faktori određuju da li će frakturi ključne kosti biti potrebna operacija i o njima treba razgovarati sa svojim lekarom. Generalno, ako je operacija neophodna, ona se radi sa rezom, nakon čega sledi implantacija ploče i šrafova. Ponekad može biti potreban koštani transplantat kako bi se  stimulisalo zarastanje. Lečenje posle operacije zavisi od mnogih faktora, kao što je brzina zarastanja preloma. Na sreću, operacija je potrebna u nekoliko slučajeva i većinom je uspešna. Hirurška intervencija može da smanji vidljivi deformitet preloma, ali će ožiljak biti vidljiv.

Podelite vest:

Pošaljite nam Vaše snimke, fotografije i priče na broj telefona +381 64 8939257 (WhatsApp / Viber / Telegram).

eKlinika zadržava sva prava nad sadržajem. Za preuzimanje sadržaja pogledajte uputstva na stranici Uslovi korišćenja.

Komentari

  • Marko

    21. februar 2024. | 22:34

    Slomio sam kljucnu kost tako sto sam pao sa elektricnog trotineta i to 8.10.2023.Danas je 21.2.2024. i prelom jos uvek nije srastao.Imam 28 godina i prelom me nije ni boleo cak,nista i da nisam otisao kod lekara zbog bolova u grudima ne bih ni znao da je kost slomljena. Evo,trenutno sam u 5. mesecu od trenutka kada je kost pukla i kaze ortoped da kost srasta ali je potrebno jos vremena i kontrola za 3 meseca,dakle posle 7 meseci pa ako to ne bude dobro onda mora operacija jer mene jos uvek boli mada zavrsio sam sa fizikalnom i kazu fizioterapeuti koji su me dobro ispipali,ispritiskali da imam kalusa za 5 osobe i im nije jeasno zasto jos uvek nije sraslo. Jos dok sam nosio zavoj osmicu mi tako zategnu onaj zavoj da ja u desnoj ruci nista nisam mogao da drzim,a rekao je ortoped da je zategao zavoj i to bas i napravio pritisak na nerv koji se nalazi ispod ruke,a i sve je pocelo da se povlaci istog dana i proslo kako je se zavoj rastegao.

  • Ivan

    12. februar 2024. | 21:27

    Ja imam neki prelom, ruka mi od ramena do prsta (zdrvena) kao palerazirana? Sta treba da radim?

ePodcast

  • Eur: <% exchange.eur %>
  • Usd: <% exchange.usd %>