Bolovi u leđima i nogama mogu da ukažu na degenerativnu skoliozu, da li terapija može da ispravi ovo stanje?

Priredio/la: D. T.    
Čitanje: oko 3 min.
  • 0

Lekari operaciji savetuju kada je kičmena krivina veća od 50 stepeni i ukoliko pacijent ima oštećenje nerava na nogama

Bolovi u leđima i nogama često su pratioci umora, nezgodnog položaja tela, ali i skolioze koja je stanje kada se kičma krivi u obliku slova C ili S. Kičma se krivi na levu ili desnu stranu, ovaj deformitet kičmenog stuba uglavnom se dijagnostikuje u kod dece i mladih osoba, ali moguće je da se javi i u starijem životnom dobu. Krivina kičmenog stuba veća od 10 stepeni određuje se kao skolioza. Moguće je da se skolioza manifestuje blagim promenama, ali i simptomima koji pored bola u leđima mogu da budu praćeni nedostatkom daha i srčanim smetnjama koje u bitnoj meri remete kvalitet života.

Uzroci skolioze?

Nepravilno držanje, genetske predispozicije, neurološki poremećaji, mogu da dovedu do skolioze. Degenerativna skolioza kod odraslih osoba uglavnom se javlja posle 65 godine života i posledica je "trošenja" zglobova i degeneracije diskova kičmenog stuba uglavnom u donjem delu leđa.

Kada se utvrdi stanje moguće su komplikacije u vidu dodatnih krivljenja kičme oko 3 stepena godišnje. Lekari kažu da je svaki slučaj poseban i da neće sve osobe imati ove komplikacije. U najtežim slučajevima degenerativna skolioza može da preraste u spinalnu stenozu. Spinalna (kičmena) stenoza se određuje kao suženje prostora unutar, oko kičme, zbog čega dolazi do pritiska na nerve koji prolaze kroz kičmu, bolova u leđima i nogama.

Kada se javljaju bolovi u leđima i nogama?

Degenerativna skolioza obično počinje bolovima u leđima tokom aktivnosti, prisutan je i bol u nogama, vremenom dolazi do problema sa hodom i ravnotežom, uočava se gubitak telesne visine. Kičmeni stub i ramena nisu u istoj ravni, rebra i lopatica su uočljiviji na jednoj strani tela.

Što smo stariji veći je i rizik od degenerativne skolioze, ali lekari napominju da je veća verovatnoća da do ovog deformiteta dođe kod starijih, gojaznih osoba, onih koji već pate od osteoporoze. Prema statistikama, skolioza će se pre javiti kod žena i kod osoba koje obavljaju naporne fizičke poslove.

Kako se dijagnostijuje degenerativna skolioza?

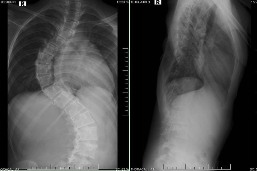
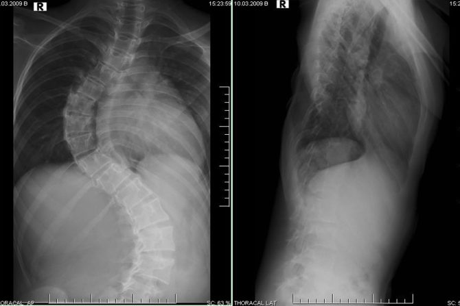
Bolovi u leđima i nogama su simptomi mnogih bolesti i na osnov njih ne može se utvrditi degenerativna skolioza. Deformitet se dijagnostikuje fizičkim pregledom, rendgenskim snimkom, magnetnom rezonancom. Na osnovu rendgenskog snimka i merenjem Cobbovog ugla može da se precizira stepen iskrivljenosti kičmenog stuba. Tačno izračunavanje Cobbovog ugla omogućava lekarima da odrede težinu deformiteta i na osnovu svih parametara utvrde najbolje načine lečenja.

Može li dedormitet da se izleči fizikalnom terapijom?

Sama fizikalna terapija neće ispraviti nepravilnost kičmenog stuba ali hoće ublažiti bol u leđima i nogama. Pored fizikalne terapije moguća je i primena lekova protiv bolova koji se mogu kupiti bez lekarskog recepta. U slučaju bolova u leđima bitno je da u saradnji sa lekarom utvrdimo koji bi nam analgetik najviše odgovarao.

Degenerativna skolioza se retko operiše i hirurgija se primenjuje kod najtežih slučajeva. Lekari operaciji savetuju kada je kičmena krivina veća od 50 stepeni i ukoliko pacijent ima oštećenje nerava na nogama ili oštećenje gastrointestinalnog trakta i bešike. Hirurške mogućnosti uključuju lumbalnu dekompresiju za ublažavanje pritiska ne nerve ili spinalnu fuziju. Moguće je da kod nekih osoba deformitet ne bude praćen bolovima, pa i da samo lečenje nije potrebno.

Podelite vest:

Pošaljite nam Vaše snimke, fotografije i priče na broj telefona +381 64 8939257 (WhatsApp / Viber / Telegram).

eKlinika zadržava sva prava nad sadržajem. Za preuzimanje sadržaja pogledajte uputstva na stranici Uslovi korišćenja.

Komentari

ePodcast

  • Eur: <% exchange.eur %>
  • Usd: <% exchange.usd %>