Šta je limfangioleiomiomatoza, koji su njeni simptomi i kako se leči 

Priredio/la: S.St.M.    
Čitanje: oko 5 min.
  • 0

Uzrokovano genetskim promenama koje omogućavaju određenim ćelijama da rastu bez kontrole, ovo retko stanje gotovo isključivo javlja se kod žena

Limfangioleiomiomatoza (LAM) retko je stanje koje uzrokuje formiranje cista i drugih izraslina u plućima, bubrezima i limfnom sistemu. Simptomi uključuju kratak dah, bol u grudima i kašalj. Uzrokovano je genetskim promenama koje omogućavaju određenim ćelijama da rastu bez kontrole. Gotovo isključivo pogađa žene.

Šta je limfangioleiomiomatoza (LAM)

Limfangioleiomiomatoza (LAM) retka je bolest pluća koja uzrokuje štetne ciste u plućima. Takođe može izazvati rast u bubrezima i limfnom sistemu. Uzrokovana je genetskim mutacijama koje omogućavaju ćelijama glatkih mišića da nekontrolisano rastu.

Ova bolest uglavnom pogađa žene. Kod većine se dijagnostikuje u dobi između 20 i 40 godina, ili između puberteta i menopauze. Zbog toga, stručnjaci veruju da hormon estrogen ili prisustvo materice mogu igrati ulogu u razvoju cista.

Vrste limfangioleiomiomatoze

Postoje dve vrste LAM-a:

  • TSC-LAM. Neke osobe sa genetskim poremećajem tuberozne skleroze razvijaju LAM (TSC-LAM).
  • Sporadična LAM. Genetska promena (mutacija) koja se dešava nasumično tokom života može izazvati sporadičnu LAM. Sporadična LAM ne može se preneti na decu.

Simptomi limfangioleiomiomatoze (LAM)

Simptomi LAM-a uključuju:

  • nedostatak daha (dispneja) ili otežano disanje; ovo vremenom može da se pogorša
  • zviždanje
  • bol u grudima
  • kašalj
  • iskašljavanje krvi ili limfe iz digestivnog sistema

Šta uzrokuje limfangioleiomiomatozu (LAM)

Mutacije (promene) u dva gena (TSC1 i TSC2) mogu izazvati LAM. TSC1 i TSC2 su tumor supresorski geni. Oni sprečavaju umnožavanje određenih ćelija van kontrole. Kada jedan od njih ima mutaciju, ćelije glatkih mišića se umnožavaju kada ne bi trebalo. Ovo uzrokuje:

  • ciste u plućima (plućna limfangioleiomiomatoza)
  • tumore bubrega (angiomiolipomi)
  • tumore u limfnom sistemu

Kako se dobija LAM

Može ili da se nasledi abnormalna kopija TSC1 ili TSC2 od biološkog roditelja koji je ima, ili promene gena mogu biti spontane (ne zna se zašto se to dešava). Nasleđene promene u TSC1 ili TSC2 uzrokuju tuberoznu sklerozu. Više od 30 odsto žena sa tuberoznom sklerozom ima LAM. Promene TSC2 koje nisu nasleđene izazivaju sporadičnu LAM, bez dodatnih simptoma tuberozne skleroze.

Koji su faktori rizika za LAM

LAM skoro isključivo utiče na žene. Samo je nekoliko muškaraca do sada imalo LAM dijagnozu. Postoji samo jedan poznat slučaj da je muškarac imao sporadičnu LAM. LAM se često pogoršava tokom trudnoće i tokom upotrebe lekova koji sadrže estrogen.

Komplikacije LAM

Kolaps pluća (pneumotoraks) najčešća je komplikacija LAM. Preko polovine svih osoba LAM imaće kolaps pluća bar jednom, i on se često ponavlja. Mnogim osobama koje imaju LAM ovo stanje dijagnostikuje se nakon što dožive kolaps pluća.

Ostale komplikacije uključuju:

  • nakupljanje limfe oko pluća (hilotoraks)
  • tečnost oko pluća (pleuralni izliv)
  • blokadu u limfnom sistemu

Dijagnostikovanje LAM

Da bi dijagnostikovao LAM, lekar će prvo obaviti pregled i pitati za simptome, a onda će tražiti da se urade analize i snimanja da bi znali:

  • koliko dobro rade pluća
  • nivoe kiseonika u krvi
  • da li postoje promene na plućima
  • da li ima povećanih nivoa određenih proteina u krvi

Simptomi limfangioleiomiomatoze slični su onima kod drugih, češćih stanja pluća, tako da lekarima može biti teško da postave dijagnozu.

Za uspostavljanje dijagnoze mogu da budu potrebni sledeći testovi i procedure:

  • testovi funkcije pluća
  • testovi nivoa kiseonika u krvi (pulsna oksimetrija)
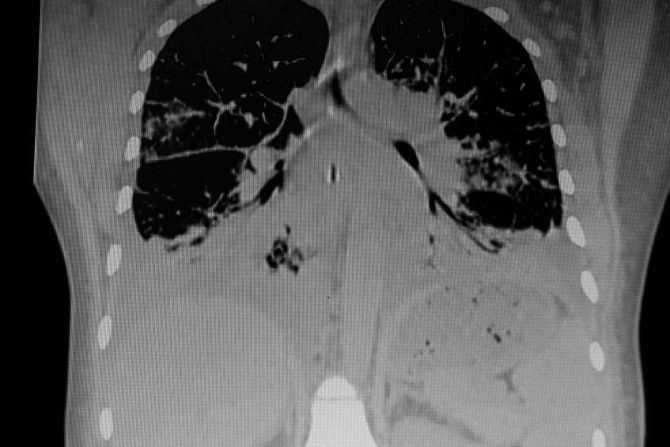
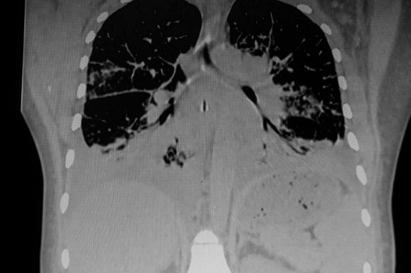
  • snimanje – CT skener, MRI (magnetna rezonanca) ili kompjuterska tomografija visoke rezolucije (HRCT); HRCT snimci daju detaljniju sliku male površine pluća da bi se potražile određene bolesti pluća
  • VEGF-D test – lekar može da traži da se uradi analiza krvi kako bi proverio prisustvo infekcija, funkciju organa i nivoe proteina VEGF-D (vaskularni endotelni faktor rasta-D); osobe sa LAM obično imaju veće količine VEGF-D u krvi, ali ne uvek
  • biopsija pluća – lekar može da uradi bronhoskopiju ili video asistiranu toraskopsku hirurgiju (VATS) da bi dobio uzorak za biopsiju.

Lečenje limfangioleiomiomatoze

Ne postoji lek za LAM. Ali lek sirolimus može je stabilizuje i spreči da se pogorša. Sirolimus takođe može da smanji izrasline bubrega (angiomiolipomi), da smanji limfne mase i sakupljanje tečnosti i da smanji simptome.

Drugi tretmani mogu uključivati:

  • terapiju kiseonikom
  • inhalacione bronhodilatatore
  • plućnu rehabilitaciju
  • transplantaciju pluća

Komplikacije, neželjeni efekti lečenja i prognoza

Sirolimus može izazvati ozbiljno oštećenje bubrega i povećati rizik od ozbiljnih infekcija.

LAM se može pogoršati tokom vremena, a tretmani mogu da se promene u zavisnosti od toga koji kako deluje.

Kojim brzinom LAM napreduje može varirati od osobe do osobe i može zavisiti od mnogih faktora, uključujući:

  • koju vrstu LAM imate – osobe sa TSC-LAM obično imaju bolju funkciju pluća od onih sa sporadičnim LAM, ali stopa opadanja njihove plućne funkcije obično je približno ista
  • životno doba – LAM prestaje da napreduje kod nekih osoba nakon menopauze, kada telo ima manje količine estrogena
  • koliko dobro osoba reaguje na lečenje – sirolimus kod mnogih stabilizuje bolest

Kada je potrebna transplantacija pluća

Mnogi koji imaju LAM (64 odsto) mogu da žive 20 ili više godina nakon dijagnoze pre nego što je potrebno da se uradi transplantacija pluća. Ali pošto LAM ćelije ne počinju u plućima, ciste se mogu vratiti, čak i nakon transplantacije.

Koliki je životni vek osobe sa LAM

Očekivani životni vek sa LAM zavisi od težine i koliko brzo napreduje. Ali generalno gledano, izgledi su pozitivniji nego što su bili u prošlosti. Više od 90 procenata osoba sa LAM žive su 10 godina nakon njihove dijagnoze.

Podelite vest:

Pošaljite nam Vaše snimke, fotografije i priče na broj telefona +381 64 8939257 (WhatsApp / Viber / Telegram).

eKlinika zadržava sva prava nad sadržajem. Za preuzimanje sadržaja pogledajte uputstva na stranici Uslovi korišćenja.

Komentari

ePodcast

  • Eur: <% exchange.eur %>
  • Usd: <% exchange.usd %>