Može li dugotrajna upotreba nekih hormonskih lekova povećati rizik od pojave tumora na mozgu

Priredio/la: I. V.    
Čitanje: oko 3 min.
  • 0

Gestageni su hormonski lekovi, slični prirodnom hormonu progesteronu, koji se dosta koriste za ginekološka stanja, kao i u hormonskoj terapiji i kontraceptivima u menopauzi

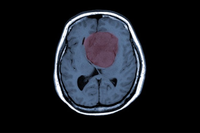
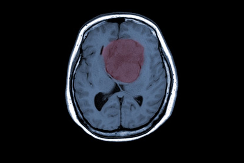
Dugotrajna upotreba određenih gestagenskih hormonskih lekova dovodi se u vezu sa povećanim rizikom od razvoja tumora mozga poznatog kao intrakranijalni meningiom, otkriva studija naučnika iz Francuske objavljena u The BMJ. Istraživači kažu da ova studija prva procenjuje rizik koji ima veze sa gestagenima koje koriste milioni žena širom sveta. Takođe navode da su neophodne hitne dalje studije kako bi se bolje shvatio ovaj rizik.

Hormonski lekovi masovno se koriste za ginekološka stanja

Gestageni su hormonski lekovi, slični prirodnom hormonu progesteronu, koji se dosta koristi za ginekološka stanja kao što su endometrioza i sindrom policističnih jajnika, kao i u hormonskoj terapiji i kontraceptivima u menopauzi. S druge strane, meningiomi su uglavnom nekancerozni tumori u slojevima tkiva (meninge) koji pokrivaju mozak i kičmenu moždinu. Već je poznato da faktori kao što su starija dob, ženski pol i izloženost trima visokim dozama gestagena (nomegestrol, hlormadinon i ciproteron acetat) povećavaju rizik od meningioma. Ali, postoji mnogo drugih gestagena za koje se rizik od meningioma dovodi u vezu sa njihovom upotrebom ali ne postoji pojedinačna procena za svaki od njih.

Kako bi odgovorili na ovaj nedostatak, istraživači su krenuli da procenjuju stvarni životni rizik od intrakranijalnog meningioma, koji zahteva operaciju kod žena koje upotrebljavaju nekoliko gestagena. Koristili su podatke iz francuskog Nacionalnog sistema zdravstvenih podataka (SNDS) za 18.061 ženu (prosečne starosti 58 godina) koje su bile podvrgnute operaciji intrakranijalnog meningioma od 2009. do 2018. godine. Svaki slučaj je uparen sa pet kontrolnih žena bez intrakranijalnog meningioma (ukupno 90.305) prema godini rođenja i području stanovanja.

Upotreba hormonskih lekova duže od godinu dana nosi rizik od meningioma

Ispitani progestogeni su progesteron, hidroksiprogesteron, didrogesteron, medrogeston, medroksiprogesteron acetat, promegeston, dienogest i levonorgestrel intrauterini sistemi. Za svaki progestogen, upotreba je definisana kao najmanje jedan recept u godini pre prijema u bolnicu ili u roku od 3 do 5 godina za intrauterine sisteme levonorgestrela. Takođe je zabeležena upotreba najmanje jednog od tri visoke doze gestagena za koje se zna da povećavaju rizik od meningioma u 3 godine pre prijema u bolnicu.

Nakon što su istraživači uzeli u obzir druge potencijalno uticajne faktore, otkrili su da je dugotrajna upotreba (godina ili više) medrogestona dovedena u vezu sa 4,1 puta većim rizikom od intrakranijalnog meningioma koji zahteva operaciju. Produžena upotreba injekcije medroksiprogesteron acetata imala je veze sa 5,6 puta povećanim rizikom, a produžena upotreba promegestona nosila je 2,7 puta povećani rizik. Izgledalo je da takav rizik nije postojao kod žena koje su manje od godinu dana upotrebljavale ove gestagene.

Masovno korišćenje nekih hormonskih lekova za kontracepciju trebalo bi da bude ozbiljno praćeno

Kao što se očekivalo, postojao je i veći rizik od razvoja meningioma za žene izložene hlormadinon acetatu, nomegestrol acetatu i ciproteron acetatu, za koje se zna da povećavaju rizik od meningioma. Međutim, rezultati nisu pokazali višak rizika od meningioma za progesteron, didrogesteron ili široko korišćene hormonske intrauterine sisteme, bez obzira na dozu levonorgestrela koju sadrže.

S obzirom na to da je reč o opservacionoj studiji, što znači da se ne može utvrđivati uzrok i posledica, istraživači ipak upozoravaju na efekte hormonskih lekova kao što je medroksiprogesteron acetat koji se koristi za kontrolu rađanja 74 miliona žena širom sveta. To, kako naode, može da ukaže da broj meningioma koji se mogu pripisati korišćenju ovih hormonskih lekova može da bude visok. Stoga su neophodne što hitnije dalje studije koje koriste druge izvore podataka kako bi se bolje razumeo ovaj rizik, zaključuju naučnici.

Podelite vest:

Pošaljite nam Vaše snimke, fotografije i priče na broj telefona +381 64 8939257 (WhatsApp / Viber / Telegram).

eKlinika zadržava sva prava nad sadržajem. Za preuzimanje sadržaja pogledajte uputstva na stranici Uslovi korišćenja.

Komentari

ePodcast

  • Eur: <% exchange.eur %>
  • Usd: <% exchange.usd %>