Šta je PEComa – redak tumor koji se može javiti bilo gde u telu

Priredio/la: V.St.    
Čitanje: oko 3 min.
  • 0

Retki tumori, koji se uglavnom slučajno otkrivaju, poput PEComa, mogu se javiti bilo gde u telu i često ostaju neprepoznati. Ovo su osnovne informacije o simptomima, dijagnozi i mogućnostima lečenja

Perivaskularni epiteloidni ćelijski tumor, poznat i kao PEComa, je veoma redak oblik tumora koji može da se pojavi bilo gde u telu – u stomaku, plućima, reproduktivnim organima, pa čak i na koži. Iako su neki oblici benigni (dobroćudni), postoje i oni koji se ponašaju zloćudno i mogu se proširiti na druge delove tela.

Neobične ćelije koje ne postoje kod zdravih ljudi

PEComa se razvija iz specifičnih ćelija koje se u normalnim uslovima ne nalaze u telu. Njihovo ime – „perivaskularne epiteloidne ćelije” – potiče od toga kako izgledaju pod mikroskopom. Još uvek nije u potpunosti jasno odakle ove ćelije potiču.

U okviru ove grupe tumora postoje poznatiji oblici kao što su:

Oba se češće javljaju kod osoba koje imaju tuberoznu sklerozu, nasledno oboljenje koje može izazvati više tumora u telu.

Ko može da oboli?

PEComa se češće javlja kod žena nego kod muškaraca. Može da se pojavi i kod osoba koje nemaju tuberoznu sklerozu – to se naziva sporadičnim slučajevima, i tada uzrok nije poznat.

Kako prepoznati simptome?

Simptomi zavise od mesta gde se tumor nalazi. Neki ljudi nemaju nikakve tegobe, i tumor se otkrije slučajno, prilikom snimanja iz drugih razloga. Međutim, kod onih koji imaju simptome, mogu se javiti:

  • Otok ili masa ispod kože, bolna ili bezbolna
  • Vaginalno krvarenje (ako se tumor nalazi u reproduktivnim organima)
  • Bolovi u stomaku, krv u stolici, zatvor ili gubitak telesne težine (ako je tumor u crevima)
  • Malokrvnost (anemija)

Svaka vrsta PEComa ima svoj specifičan izgled i simptome.

Kako se postavlja dijagnoza?

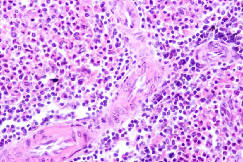
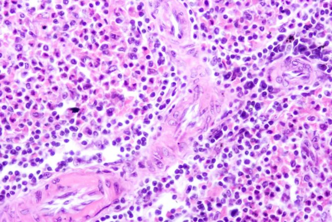
Prvi korak su snimanja – rendgen, CT ili magnetna rezonanca. Ako se otkrije tumor, radi se biopsija, kako bi se tkivo analiziralo pod mikroskopom.

Pod mikroskopom, PEComa izgleda kao skup epiteloidnih ćelija raspoređenih oko krvnih sudova. Uglavnom sadrže proteine koji su slični onima u ćelijama koje proizvode melanin i u glatkim mišićima.

Ako lekar posumnja da se radi o zloćudnoj varijanti, važno je posmatrati:

  • Veličinu tumora
  • Širenje na okolna tkiva
  • Brzinu deobe ćelija

Kod osoba koje imaju tuberoznu sklerozu, može se uraditi genetsko testiranje, jer su PEComa tumori češći kod njih. Za osobe sa LAM oblikom bolesti, koristi se i analiza krvi na faktor rasta VEGF-D.

Kako se leči PEComa?

Hirurško uklanjanje je osnovni način lečenja ako se tumor nije proširio. U slučajevima kada je tumor benigni, operacija može potpuno da reši problem. Ipak, postoji mogućnost da se tumor vrati, pa je tada opet potrebno hirurško lečenje.

Ako se tumor proširio (metastazirao), hirurgija obično nije moguća i tada se primenjuje medikamentno lečenje.

Kod pacijenata sa LAM oblikom, mogu se koristiti lekovi koji služe za širenje disajnih puteva i, u težim slučajevima, terapija kiseonikom ili transplantacija pluća.

Kod osoba koje imaju mutacije gena TSC1 ili TSC2, koristi se lek koji blokira put kojim se tumor „hrani” i raste (tzv. mTOR put).

Život sa ovim tumorom

Ova dijagnoza nosi brojne neizvesnosti. Kod nekih ljudi tumor miruje, kod drugih brzo napreduje. Zato je važno redovno praćenje i kontrola, kako bi se na vreme uočile promene.

Iako je PEComa retka vrsta tumora, zahvaljujući novim terapijama i genetskim istraživanjima, postoje mogućnosti da se bolest drži pod kontrolom i da se značajno produži život pacijenata.

Podelite vest:

Pošaljite nam Vaše snimke, fotografije i priče na broj telefona +381 64 8939257 (WhatsApp / Viber / Telegram).

eKlinika zadržava sva prava nad sadržajem. Za preuzimanje sadržaja pogledajte uputstva na stranici Uslovi korišćenja.

Komentari

ePodcast

  • Eur: <% exchange.eur %>
  • Usd: <% exchange.usd %>