Epitelni rak jajnika može da se širi i pre nego što se otkrije

Priredio/la: I. V.    
Čitanje: oko 3 min.
  • 0

Epitelni rak jajnika razvija se u epitelnom, površinskom tkivu - tankoj oblozi koja prekriva spoljašnji deo jajnika

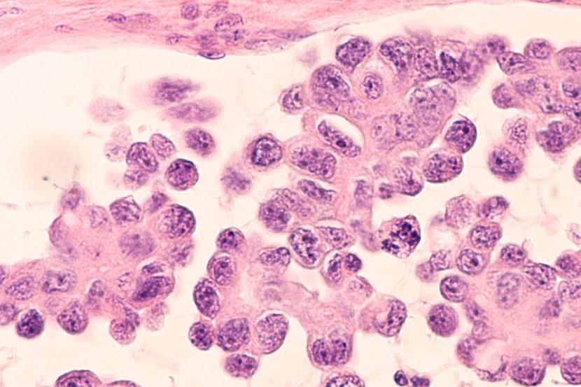
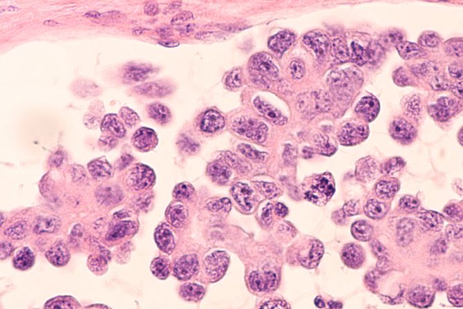
Epitelni rak jajnika najčešći je tip karcinoma jajnika, jer oko 90 od 100 tumora jajnika, odnosno 90 odsto njih su epitelni. Epitelni kanrcinom jajnika označava rak koji je započeo u površinskom sloju, koji pokriva jajnik, a kada je tumor visokog stepena najčešće ima tendenciju da se proširi po telu i pre nego što se otkrije.

Epitelni rak jajnika razlikuje se na osnovu 4 stadijuma

Kada se govori o raku jajnika važno je utvrditi o kom tipu karcinoma jajnika je reč, kao i u kom stadijumu je tumor otkriven. Ove činjenice pomažu lekaru specijalisti koji je tretman najbolji za pacijentkinju. Stadijum raka govori koliko je rak narastao i gde se sve proširio. Ocena stadijuma opisuje kako ćelije izgledaju pod mikroskopom. Što manje razvijene ćelije izgledaju, to je viši stepen tumora, a zna se da karcinomi višeg stepena rastu brže od onih koji spadaju u niži stadijum. Kod epitelnog karcinoma jajnika razlikuju se 4 stadijuma:

1. Serozni epitelni rak jajnika

Serozni epitelni karcinom jajnika je najčešći tip. Lekar ispituje rak pod mikroskopom i procenjuje tumor u zavisnosti od toga koliko tumorske ćelije izgledaju kao normalno tkivo. Na osnovu toga razlikuju se:

  • serozni rak jajnika visokog stepena
  • serozni karcinom jajnika niskog stepena.

Onkolozi navode da većina seroznih karcinoma jajnika visokog stepena počinje u ćelijama na kraju jajovoda umesto na površini. Te ćelije raka se zatim šire na jajnik i rastu.

2. Endometrioidni epitelni karcinom jajnika

Endometrioidni rak jajnika je drugi najčešći tip epitelnog karcinoma jajnika. Može da se dovede u vezu sa endometriozom. Većina slučajeva endometrioidnog karcinoma jajnika dijagnostikuje se u ranoj fazi i niskog je stepena. Neke žene imaju endometrijalni karcinom jajnika u isto vreme kao i odvojeni rak materice (endometrijuma).

3. Epitelni rak jajnika čistih ćelija 

Karcinom jajnika sa čistim ćelijama je retkost i može da se dovede u vezu sa endometriozom. Tretman je isti kao kod seroznog karcinoma jajnika visokog stepena. Ali, hemoterapija ne deluje tako dobro kao kod drugih vrsta epitelnog karcinoma jajnika.

4. Mucinozni epitelni rak jajnika

Mucinozni rak jajnika je retkost te ga je zbog toga teško dijagnostikovati. U ovom slučaju rade se testovi kako bi se proverilo da li je rak počeo da raste u jajniku. Ili, ako se tamo proširio sa nekog drugog mesta u digestivnom sistemu. Mucinozni tumori mogu biti nekancerozni (benigni), granični ili kancerogeni (maligni).

Neki epitelni karcinomi jajnika su nediferencirani ili se ne mogu klasifikovati. Ovi tumori imaju ćelije koje su veoma nerazvijene što znači da nije moguće reći od koje vrste ćelije je rak nastao.

Kako se leči epitelni karcinom jajnika?

Istraživači rade klinička ispitivanja kako bi utvrdili da li ređe vrste epitelnog karcinoma jajnika zahtevaju drugačiji tretman od seroznog tipa. Ali u ovom trenutku, epitelni karcinom jajnika se uglavnom tretira na isti način:

  • hirurgija
  • hemoterapije
  • ciljani lekovi protiv raka
  • radioterapija.

Koja vrsta tretmana će biti primenjena zavisi od nekoliko faktora:

  • veličina raka i da li se proširio, odnosno koji je stadijum karcinoma
  • koliko abnormalno ćelije izgledaju pod mikroskopom
  • opšte zdravlje pacijenta.

Stručnjaci, na primer, znaju da neke vrste epitelnog karcinoma jajnika bolje reaguju na hemoterapiju od drugih i manje je verovatno da će preporučiti hemoterapiju za neke vrste tumora:

  • serozni karcinom jajnika niskog stepena
  • mucinozni rak jajnika koji se nije proširio.

Podelite vest:

Pošaljite nam Vaše snimke, fotografije i priče na broj telefona +381 64 8939257 (WhatsApp / Viber / Telegram).

eKlinika zadržava sva prava nad sadržajem. Za preuzimanje sadržaja pogledajte uputstva na stranici Uslovi korišćenja.

Komentari

ePodcast

  • Eur: <% exchange.eur %>
  • Usd: <% exchange.usd %>